Page 95 - ACCB 2020
P. 95

Proteínas salivales y diversidad trófi ca en murciélagos tropicales. Jiménez  et al











































































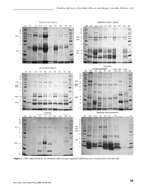
            Figura 1. Perfi l electroforético de proteínas salivales para especies herbívoras (A) e insectívoros estrictos (B).









                                                                                                             95
            Rev. Asoc. Col. Cienc.(Col.), 2020; 32: 89-102.
   90   91   92   93   94   95   96   97   98   99   100